Рентгеновская система IMAX 9600B
IMAX 9600B – это универсальная диагностическая рентгеновская система на 3 рабочих места, предназначенная для цифровой рентгенографии и цифровой флюороскопии.
Особенности системы IMAX 9600B
- Применяется в различных клинических рентгенологических исследованиях, таких как рентгенография, цифровая флюороскопия, контрастная и визуализированная точная съемка DR
- Высококачественное цифровое изображение с автоматической настройкой яркости и контрастности
- Динамический плоскопанельный детектор размером 17"х 17" (43 х 43 см), обеспечивающий большую площадь захвата, широкое поле изображения и полное покрытие изображения.
- Многофункциональный дизайн – многопозиционная конструкция системы для удобного проведения любых исследований
- SID до 1,8 м для проведения рентгенографии грудной клетки, лобной части, крестцово-копчикового отдела и т.п.
- Диагностический стол с возможностью наклона, регулируемой высотой и поперечным смещением, позволяющим проводить обследование пациентов даже на инвалидной коляске
- Автоматический электрический коллиматор может автоматически регулировать размер луча в соответствии с различными положениями тела, уменьшая ненужное облучение во время тестирования.
- Интеллектуальная система мониторинга дозы DAP для регистрации дозы разового обследования и управления поглощением дозы облучения пациента
- Функция Автоматического контроля экспозиции AEC – интеллектуальное управление временем экспозиции, которое решает проблему нестабильной фоточувствительности при исследовании разных частей и пациентов.
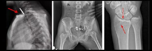
- Функция Автоматического сшивания изображений, позволяющая формировать предоперационные хирургические планы и оценивать послеоперационные последствия, такие как сколиоз и нагрузка на костные ортопедические изделия, протезирование колена и эндопротезирование тазобедренного сустава (данная функция опциональна и предоставляется по предварительному запросу)
- Функция Томосинтеза – передовая, самая современная технология визуализации, сочетающая технологию реконструкции конусно-лучевой компьютерной томографии и технологию цифровой обработки изображений (данная функция опциональна и предоставляется по предварительному запросу)
- Современное программное обеспечение позволяет проводить весь комплекс работы с полученным изображением – отвлечение к архивации и передаче в общебольничную сеть.
- Высокочастотный генератор мощностью 84 кВт
- Рабочая станция лаборанта с медицинским монитором
- Система может дополнительно комплектоваться рабочей станцией врача, принтером для печати на сухих медицинских пленках и другими опциями и устройствами для рентгенологических исследований.
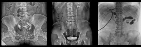
Рентгенологические исследования: рентгенография больших переломов костей и масштабное физическое рентгенографическое обследование, флюороскопия всех частей тела (грудная клетка, живот и т.д.), пищеводная ангиография, ангиография верхних отделов желудочно-кишечного тракта, полная ангиография желудочно-кишечного тракта, холангиография, Т-образная холангиография, ЭРХПГ, внутривенная пиелография, гистеросальпингография и т.д.













